Social media has a way of influencing many people with new trends. Throughout the span of social media existing, there have been many trends that have swept the globe in regards to fashion, hairstyles and colors, and even new slang. Influencers are a great addition to any social media platform who help boost these trends and can even help make businesses tons of money by pushing products and services.
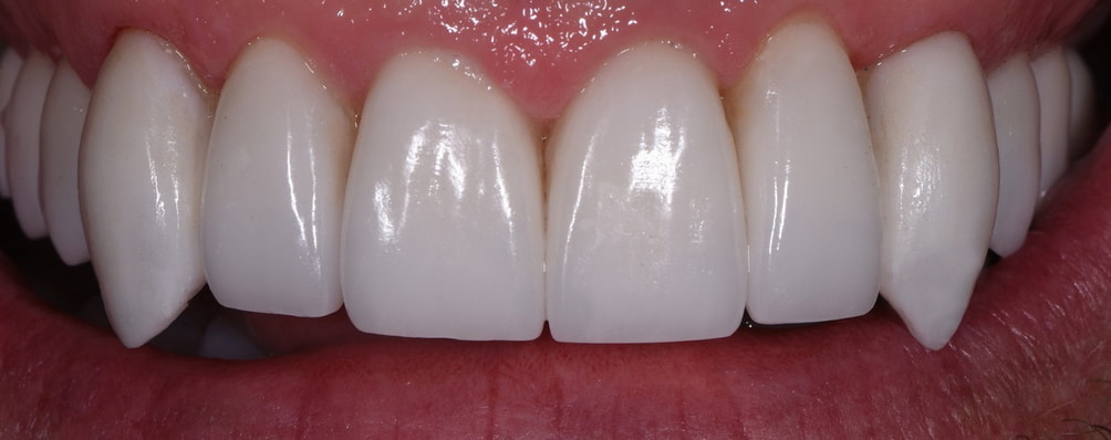
With social media fads coming and going, there are many who are up-to-date on the latest that is in. One of the newest social media trends that has become popular are dental fangs–a cosmetic dental procedure that either caps or shapes down an individual’s canine teeth to give off a sharp, even vampire-like look.
Understanding how this social media trend came to become so popular and even getting familiar with why people do it is essential!
What Are Dental Fangs and What Does the Procedure Look Like?
Dental fangs are becoming a popular dental procedure for many dentists to perform, but how is it done?

When something has become a craze among social media, many people are interested in it and want to look more into it. Dental fangs have become extremely popular for those with a particular gothic or emo style, but it’s important to know what it is and your options for getting it done–including both permanent and non-permanent ways.
The Dental Fang Procedure
When it comes down to the ever-so-popular dental fang procedure that has been sweeping social media, there are a few options for people to consider before getting it done. There are both permanent and non-permanent options that can be done depending on how you feel about it. It’s important to keep in mind that many trends come and go, so knowing your options beforehand can be a great benefit, along with any recommendations from your dentist.
Initial Appointment
Before any cosmetic dental procedure, dentists will have you come in for an initial appointment to take a look at your teeth and do an overall check-up to ensure that there are no dental issues that need to be taken care of before. At this appointment, dentists will ask you what your goals are and how you want the end result of your teeth to look, plus give their own recommendations, along with both permanent and non-permanent options. This can help to determine the best approach for what you’re looking for, plus help ease your mind if you’re nervous about procedure day.
Permanent Dental Fangs
For those who are committed to the look of dental fangs and want something more permanent, implants or veneers are often the best option. For those looking for implants, natural canines can be removed and an implant can take its place to create a permanent fang-like structure. This is done by taking a titanium post surgically into your jawbone and attaching a custom-made tooth in its place where it matches your teeth color.
Veneers are also a popular trend circulating social media that shaves down all of your natural teeth and replaces them with thin, custom-made porcelain shells that are placed on top of them to create a beautiful, white set of teeth. This can also be done with fangs as well where your canines can be shaved down and a fang-shaped veneer can be capped on top of it for a more permanent look.
Another option that can be considered as well is recontouring–allowing your dentist to reshape your canines if you already have a naturally pointed shape. This is also considered a permanent option since it involves the shaving and reshaping of your tooth–which also eliminates some of the enamel–to create a fang-shape.
Non-Permanent Dental Fangs Option
For those who are interested in the dental fangs but don’t want to commit to a permanent option should consider composite binding. This is done by applying tooth-colored resin to your canine teeth that can be molded into the shape of a fang. The best part about this procedure is that it is non-invasive, meaning you don’t have to endure any novocaine shots, no enamel removal is needed, and they can be removed or replaced as desired. This is also great for those who can’t commit to a trend for a long time–and it can leave no regrets if they opt for the permanent option.
Why Are Dental Fangs Gaining Popularity?
A popular social media trend that many are actively getting done–but what is it and why are people doing it?

While there are many reasons for people undergoing certain cosmetic dental procedures, it’s important to do your research on it beforehand. Dental fangs are a popular social media trend that is going viral for a number of reasons–such as aesthetic preferences, individual expression, as well as the result of a cultural influence.
Why Are Dental Fangs So Popular?
One of the most important things to do before diving into any social media trend is understanding why it became so popular. When it comes down to why a particular trend piques your interest more than others can all come down to your individual choice and aesthetic. Many people have a sense of style that is unique to them–or maybe trying out a new trend is up your alley. Whatever the case may be, dental fangs have become popular simply because of their aesthetic appeal and self-expression.
The Vampire Craze
Many other people get the procedure done because of their interests in either vampire mythology or the cultural influence of the Japanese Yaeba trend. Vampires have been a staple within literature, movies, and pop culture for centuries with popular series like Dracula, Twilight, The Vampire Diaries, and even Buffy the Vampire Slayer.
Japanese Culture: Yaeba Trend
In regards to the Japanese Yaeba trend, many young women in Japan get an artificial tooth attached to their canines to create an overlapping, snaggly, or crooked appearance–which is seen as cute and youthful in their culture. This can be seen as an imperfect, yet unique look that can be attractive to many, and it’s also a stark difference between the globally known straight teeth look that has been popular for ages.
Are Dental Fangs Approved By Dentists?
Deemed medically unnecessary, many dentists have their own opinions about dental fangs!

Now that you are familiar with dental fangs and what they are, it’s important to see what the experts have to say about it. Many dentists prefer their patients to turn away from cosmetic procedures such as these, unless you’re aiming to go down the non-permanent route because of the risks it may have on your teeth and even the fear of regretting it one day.
Are Dental Fangs Medically Necessary?
Dental fangs are not medically necessary whatsoever. They are considered a cosmetic enhancement and a form of self-expression. There are little to no risks to getting dental fangs, but they are only performed if the patient has expressed an interest in them, along with consulting their dentist and getting a second opinion.
What the Experts Say About Dental Fangs
While dentists may have their own opinions about dental fangs, they may not fully disapprove of them. Dentists are focused on proper dental health, which includes your daily oral routine and potential risks associated with dental fangs. Some issues that people may experience with getting permanent dental fangs include difficulties chewing, speaking, or overall lip comfort. There may also be discomfort and risks of damage to your fangs if they are not shaped to your mouth size.
Overall, dental fangs are a popular social media fad that have taken over both TikTok and Instagram with many influencers opting for the procedure for aesthetic purposes. It is generally safe to get with minimal amounts of risk involved with both permanent and non-permanent options to try. It is a common procedure that many people are getting with many influences ranging from vampire mythology to the Japanese Yaeba trend.
Consider talking to your dentist today for both non-permanent and permanent options of dental fangs today!
If you’re in the Washington, PA area and are considering dental fangs, or another cosmetic dental procedure––consider contacting Elizabeth L. Wakim— exceptional smiles start here!

Dr. Elizabeth Wakim, DDS, is the founder of Enhanced Wellness. She’s a compassionate and highly-regarded dentist with her own practice in Washington, Pennsylvania, known for providing modern, comprehensive dental care, botox and facial aesthetics with a focus on patient comfort and anxiety reduction, serving general, cosmetic, and pediatric dentistry needs.







